• 用户名:
  • 密码:
您现在的位置: 首页 > 口腔科普 > 牙齿颜色发生变化的真正原因
牙齿颜色发生变化的真正原因
添加日期:2019/5/23 19:55:32   浏览次数:1948   加入收藏

  

牙齿颜色发生变化的真正原因

 

 

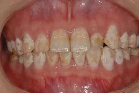
牙齿颜色为什么会发生变化?变化的原因又是什么?今天我们来简要的了解一下。


 

许多人误以为牙齿发黄仅仅是牙齿表面发生颜色变化,想象把表层磨掉,牙齿就能变白了。其实牙齿里面的颜色和外表并没有多大差异,牙齿表面颜色的变化,就是人体生理因素发生变化后对牙齿带来的影响和变化,而其中骨骼系统生理因素的变化,对牙齿颜色的影响是最直接,也是最大的。


 


比如人体的慢性氟中毒,氟主要侵害的就是骨骼系统,最后它能让人体的关节,脊骨慢慢变形,但它首先表现出现的症状,就是牙齿变黄、变黑、缺损和脱落。


 

又比如在一些特殊的地区因为水质的原因,造成生活在这一地区的人们出现了统一的受损标志——黄牙(氟斑牙),这些都是先因骨骼系统受到了轻微的侵害后,引起牙齿出现连锁反应,并导致牙齿中原有的某些重要元素流失了,最后引起牙表色泽上的变化。

 

 

 

编辑:医政科  赵   然

        

 

开封市口腔医院始建于1956年,建筑面积5300平方米,是市政府举办,省卫生厅监管的非盈利性二级甲等口腔专科医院。现为河南省口腔医学会副主任委员单位、开封市医学会口腔专业委员会主委单位,新农合、城镇医保定点单位,开封市口腔病防治研究所附设我院。我院专科分设精细,有牙体牙髓病科、修复科、正畸科、种植科、儿童牙病科、综合科、特需门诊、口腔黏膜科、牙周病科、口腔颌面外科、手术室等临床科室及药房、化验室、放射科、锥形束CT室等医技科室,功能齐备的消毒供应中心确保了医疗安全,是一所集医疗、科研、预防、教学于一体的二级口腔专科医院。2012年9月按照市委市政府决定开封市第一人民医院、开封市中西医结合医院、开封市口腔医院、开封眼病医院整合成立开封市中心医院。开封市口腔医院现为开封市中心医院北院区。

 

 

 

 

  • 地址:开封市东大街90号
  • 联系电话:0371-22559870 0371-22559873
  • 来院路线:乘3路、11路、14路、18路、20路、21路、34路、37路、47路均可到达。
  • 医院信箱:kfkqyy@126.com