• 用户名:
  • 密码:
您现在的位置: 首页 > 口腔科普 > 多生牙,你了解吗?
多生牙,你了解吗?
添加日期:2019/8/16 16:48:32   浏览次数:1556   加入收藏

 

多生牙,你了解吗?


 

人在正常情况下有20颗乳牙、32颗恒牙(也有28颗者),超出这些数目的牙齿称为多生牙,又叫额外牙。在儿童及青少年时期较为多见。下面我就来说说有关多生牙的那些事。


 

 

 

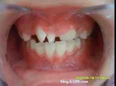
                                             多生牙的形态

 


多生牙的形态变化较大,以圆锥体形多见,其次为结节状,或其它形状,也有的与同名牙外形相类似;在大小方面从米粒大小到正常牙齿大小都可发生。多生牙大多数发生在上颌前牙区,也可见于下颌牙区,在上下颌骨的其它位置也可发生。多生牙是牙齿形成过程中的一种发育畸形,确切原因尚不清楚。

 


                                          

                                                 多生牙的危害

 

多生牙的主要危害在于影响恒牙发育和牙齿排列。造成牙齿间隙、拥挤、恒牙阻生、迟萌、早萌等。也可造成颌骨囊肿、牙根吸收等病变。

 

                                                     多生牙的治疗

 


多生牙一般应尽早发现、尽早拔除。已萌出者较易发现也较易拔除。未萌出的多生牙,需通过拍片才能发现。有时还需要CT检查。

 

 


早发现、早治疗 

 一般已经萌出的多生牙不难诊断,而未萌出埋伏于颌骨内的多生牙一般需采用X线片检查才能发现。 

多生牙的存在有时会露出一些"蛛丝马迹”,有助于诊断。例如前牙区较大间隙、恒牙迟迟未萌、形态异常的牙齿等等。 

定期对孩子进行口腔检查,尽早发现并及时拔除多生牙以减少其危害的发生。

 

 

 

撰稿:儿童牙病科  董媛媛

编辑:医政科  赵   然

 


开封市口腔医院始建于1956年,建筑面积5300平方米,是市政府举办,省卫生厅监管的非盈利性二级甲等口腔专科医院。现为河南省口腔医学会副主任委员单位、开封市医学会口腔专业委员会主委单位,新农合、城镇医保定点单位,开封市口腔病防治研究所附设我院。我院专科分设精细,有牙体牙髓病科、修复科、正畸科、种植科、儿童牙病科、综合科、特需门诊、口腔黏膜科、牙周病科、口腔颌面外科、手术室等临床科室及药房、化验室、放射科、锥形束CT室等医技科室,功能齐备的消毒供应中心确保了医疗安全,是一所集医疗、科研、预防、教学于一体的二级口腔专科医院。2012年9月按照市委市政府决定开封市第一人民医院、开封市中西医结合医院、开封市口腔医院、开封眼病医院整合成立开封市中心医院。开封市口腔医院现为开封市中心医院北院区。

 

 

  • 地址:开封市东大街90号
  • 联系电话:0371-22559870 0371-22559873
  • 来院路线:乘3路、11路、14路、18路、20路、21路、34路、37路、47路均可到达。
  • 医院信箱:kfkqyy@126.com