• 用户名:
  • 密码:
您现在的位置: 首页 > 口腔科普 > 浅谈刷牙出血的几点原因
浅谈刷牙出血的几点原因
添加日期:2019/9/19 8:56:55   浏览次数:1989   加入收藏

 

 

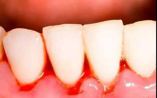
浅谈刷牙出血的几点原因

 

 

 

 

说到牙龈出血这个话题,相信很多朋友多少都出现过,也算生活中常见的一个话题。牙龈并非是无缘无故的出现出血问题,它的出现往往也在反应一些对身体健康不利的问题。你在日常生活中,是否在刷牙时总是会出现牙龈出血的情况?它的出现主要跟下面这几点脱不了干系,下面我们就一起了了解一下!

 

 

1

日常刷牙过于用力导致的。

日常生活中,有些人认为在刷牙的时候,只要用力刷就能够把牙齿以及口腔上的残渣以及污垢给清除掉,但是过度用力刷牙,是十分容易会导致我们的牙龈遭受到损伤,从而引起出血问题。特别是如果你使用的是劣质的硬毛牙刷,那么再加上过度用力的来回牙刷摩擦,就很容易会导致牙龈出现出血的问题。

 

2

可能是全身性疾病导致的。

某些全身性的疾病问题,也可能会引起牙龈出血的问题。比如我们所熟知的肝硬化疾病、严重的贫血问题、白血病等等,都可能会导致患者经常出现牙龈出血的情况。

 

3

可能是精神情绪导致的。

平时的压力过大,那么在日常生活中,是会经常出现牙龈出血的情况。除了出血的症状之外,通常还可能会伴随有口中异味的问题。日常生活中学会放松自己的身心,合理掌控压力,保持良好的生活习惯。

 

4

可能是牙周疾病导致的。

牙周疾病问题会导致牙龈出血。存在有牙周病的患者还有一个较为明显的表现,那就是在日常吃食物时,很容易会在食物被咬的一面界线上出现血痕;甚至哪怕你轻轻刷牙也会导致牙龈出现流血的问题。这种情况无论你通过洗牙,还是通过补充维生素,都收效甚微。

 

5

日常刷牙的方式是不对的。

我们在进行刷牙时,应该掌握好巴氏刷牙法,竖横刷法相互结合,这样才能够把我们牙齿和口腔全方面的清洁干净。

 


如果你出现了牙周疾病,不要耽误,去医院寻找医生进行正规的检查和相关治疗,别等病情严重了才重视,这个时候不仅仅要花费大量的金钱,同时治疗难度上也是要比疾病初期更手。

 

 

 

撰稿:牙周科  赵越

编辑:医政科  赵然

 


开封市口腔医院始建于1956年,建筑面积5300平方米,是市政府举办,省卫生厅监管的非盈利性二级甲等口腔专科医院。现为河南省口腔医学会副主任委员单位、开封市医学会口腔专业委员会主委单位,新农合、城镇医保定点单位,开封市口腔病防治研究所附设我院。我院专科分设精细,有牙体牙髓病科、修复科、正畸科、种植科、儿童牙病科、综合科、特需门诊、口腔黏膜科、牙周病科、口腔颌面外科、手术室等临床科室及药房、化验室、放射科、锥形束CT室等医技科室,功能齐备的消毒供应中心确保了医疗安全,是一所集医疗、科研、预防、教学于一体的二级口腔专科医院。2012年9月按照市委市政府决定开封市第一人民医院、开封市中西医结合医院、开封市口腔医院、开封眼病医院整合成立开封市中心医院。开封市口腔医院现为开封市中心医院北院区。

 

 

 

  • 地址:开封市东大街90号
  • 联系电话:0371-22559870 0371-22559873
  • 来院路线:乘3路、11路、14路、18路、20路、21路、34路、37路、47路均可到达。
  • 医院信箱:kfkqyy@126.com