• 用户名:
  • 密码:
您现在的位置: 首页 > 口腔科普 > 牙齿贴面——一种牙齿美容技术
牙齿贴面——一种牙齿美容技术
添加日期:2020/4/2 10:57:44   浏览次数:3041   加入收藏

 

牙齿贴面——一种牙齿美容技术


牙齿贴面作为一种牙齿美容技术,因其完美的修复效果,日趋受到人们的欢迎。

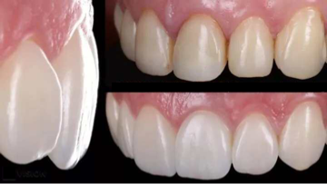
贴面是口腔美学修复的一种微创技术,牙齿贴面修复就是在变色或缺损的牙齿表面粘贴一层近似正常牙色的材料,用以美白或修复。这项技术已被口腔医学广泛运用,经过临床验证,颇受消费者喜爱。

 



    牙齿贴面主要采用陶瓷或硬质复合树脂类材料在模型上制作完成。可在口外进行充分地修形、调改、调色、磨光。



      瓷贴面是应用粘结材料将薄层人工瓷修复体固定在患牙唇面以遮盖影响美观的缺损、变色等缺陷的一种修复方法,其作为一种保存性修复治疗手段,近年来广泛用于临床,尤其适于对年轻恒牙、髓腔较大的前牙进行牙齿美容修复。瓷贴面具有颜色美观、备牙量少、抗液体吸收、生物相容性好、抗磨损、牙周保健及粘结牢固可靠等优点。


 

 

 

 优点

牙齿贴面对氟斑牙、轻中度四环素牙、轻微牙齿排列不齐等牙齿问题有着优良的美学效果,并且对患者牙齿损伤小,所以越来越多的人选择贴面的形式来修复牙齿。

1. 安全

     磨除牙体组织少。瓷贴面磨除牙体组织少,有些情况下甚至不要磨除牙体组织,这样可以保存大量的牙体组织,不需要杀神经,可以保持天然牙齿长期的健康。

2. 美观

     仿真效果好。瓷贴面仿真的美容效果,具有与天然牙体组织相同的光学特质,不含有任何金属成分,表现出最佳的美学效果,不会出现金属烤瓷牙常见的牙龈黑线现象。瓷贴面制作时有多种不同颜色的瓷块可选择,同时可以采用外染色进行颜色细调。临床黏结时有多种不同深浅颜色的黏结剂和白色遮色剂可以用来辅助调整瓷贴面的颜色,以达到整体协调的美容效果。并且瓷本身的高耐磨性和不着色可以使瓷贴面达到永久的美白效果。


 

3. 健康

     对牙龈刺激小。瓷贴面具有极好的透光性,牙体预备时可以平齐牙龈即可,这样有利于保护牙龈及制取印模和粘结瓷片。与牙龈相衔接的区域也仅在唇侧,对牙龈的刺激更小。更不会有金属烤瓷牙的金属离子导致的牙龈变色。瓷贴面的硬度稍低于牙釉质,可以有效保护对颌牙。

4. 舒适

      无口腔异物感。传统烤瓷牙修复需要磨除舌侧的天然牙齿,而舌侧的牙体通常都是健康的,并且与舌、对的牙齿处于最协调的状态。即使是最好的金属烤瓷牙也不可能完全恢复到以前天然牙齿的状态。瓷贴面修复基本不需要磨切牙齿的舌侧部分,可以保存大部分甚至全部舌侧的形态,有效的保护了对颌牙,同时舌头接触到的仍然是未被破坏的天然牙齿,触觉自然、舒适,避免舌头与传统烤瓷牙接触时的“异物感”。所以,瓷贴面具有良好的舒适性。

 

 

撰稿:修复科  王潇雅

编辑:医政科  赵   然

图片来源于网络

 

开封市口腔医院始建于1956年,建筑面积5300平方米,是市政府举办,省卫生厅监管的非盈利性二级甲等口腔专科医院。现为河南省口腔医学会副主任委员单位、开封市医学会口腔专业委员会主委单位,新农合、城镇医保定点单位,开封市口腔病防治研究所附设我院。我院专科分设精细,有牙体牙髓病科、修复科、正畸科、种植科、儿童牙病科、综合科、特需门诊、口腔黏膜科、牙周病科、口腔颌面外科、手术室等临床科室及药房、化验室、放射科、锥形束CT室等医技科室,功能齐备的消毒供应中心确保了医疗安全,是一所集医疗、科研、预防、教学于一体的二级口腔专科医院。2012年9月按照市委市政府决定开封市第一人民医院、开封市中西医结合医院、开封市口腔医院、开封眼病医院整合成立开封市中心医院。开封市口腔医院现为开封市中心医院北院区。

 

 

 

 

  • 地址:开封市东大街90号
  • 联系电话:0371-22559870 0371-22559873
  • 来院路线:乘3路、11路、14路、18路、20路、21路、34路、37路、47路均可到达。
  • 医院信箱:kfkqyy@126.com