• 用户名:
  • 密码:
您现在的位置: 首页 > 口腔科普 > 喂养孩子时,您关注孩子牙齿健康了吗?
喂养孩子时,您关注孩子牙齿健康了吗?
添加日期:2020/4/2 11:06:28   浏览次数:2275   加入收藏

 

喂养孩子时,您关注孩子牙齿健康了吗?

 

人们对糖果、甜食会引起龋病已早有认识,但并不是说一次食糖后就起作用,而是与食糖的量、频率、方式密切相关。糖本身并不会引起龋齿,而是因为含糖量多的食品很容易粘在牙面上,其中的细菌便可产生乳酸,使牙齿表面脱钙而致龋,所以说食糖过多对牙齿不利。




通常水果中也含糖分,蔬菜中也有少量的糖分,不过它们的糖浓度很低,并且具有丰富的粗纤维,能起到清洁牙齿的作用,这些食物对牙齿没有什么危害。



父母在关心孩子的营养的同时,已开始注意点心的供应和蔗糖的摄入量。由于甜食、黏食、淀粉类食品对牙齿危害比较大,所以建议家长:

(1)不要滴滴拉拉地给孩子吃零食。

(2)甜食最好在主餐时给予,而不要放在2餐之间。

(3)应选择不容易粘附在牙齿面上的副餐食物。

(4)应随时提醒孩子少吃零食,并在吃完后立即漱口。

 



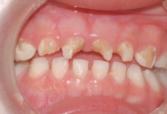
奶瓶龋在乳牙龋病中具有独特的表现,顾名思义是因为长期使用奶瓶而发生的早期多个牙龋坏。奶瓶龋常常好发于上颌切牙的唇面(门面部)和第1乳磨牙的胎面(咬东西的窝沟凹凸面),但下颌切牙一般没有龋坏。 由于乳牙刚刚长出,表面结构尚未成熟,很容易受到酸的作用,使牙齿脱钙最终产生龋坏。所以,当母亲为哄孩子入睡时,经常给孩子喂奶甚至让孩子含着奶嘴、抱着奶瓶入睡,而奶瓶内的牛奶和含糖、含酸的各类饮料经人造奶头长时间地粘附于牙面,牙质在细菌的作用下受到损害。另外,奶瓶喂养的孩子的吸吮运动也比母乳喂养的孩子强,并且他们喜欢游戏似的长时间含着奶头,使唾液的分泌量减少,对口腔的清洁作用降低了,从而更容易发生“虫牙”。

 



为了预防奶瓶龋的发生,第一应当提倡母乳喂养;第二不让孩子抱着奶瓶睡觉,并尽早地让孩子学会用碗或用勺吃;第三孩子睡觉若非要用奶瓶不可时,在喂完奶后,可给孩子喂一点清水或淡茶水,以帮助清洁口腔。1岁后应停止使用奶瓶。

 

 

撰稿:儿童牙病科  董媛媛

编辑:医政科  赵   然

图片来源于网络

 

开封市口腔医院始建于1956年,建筑面积5300平方米,是市政府举办,省卫生厅监管的非盈利性二级甲等口腔专科医院。现为河南省口腔医学会副主任委员单位、开封市医学会口腔专业委员会主委单位,新农合、城镇医保定点单位,开封市口腔病防治研究所附设我院。我院专科分设精细,有牙体牙髓病科、修复科、正畸科、种植科、儿童牙病科、综合科、特需门诊、口腔黏膜科、牙周病科、口腔颌面外科、手术室等临床科室及药房、化验室、放射科、锥形束CT室等医技科室,功能齐备的消毒供应中心确保了医疗安全,是一所集医疗、科研、预防、教学于一体的二级口腔专科医院。2012年9月按照市委市政府决定开封市第一人民医院、开封市中西医结合医院、开封市口腔医院、开封眼病医院整合成立开封市中心医院。开封市口腔医院现为开封市中心医院北院区。

 

 

 

  • 地址:开封市东大街90号
  • 联系电话:0371-22559870 0371-22559873
  • 来院路线:乘3路、11路、14路、18路、20路、21路、34路、37路、47路均可到达。
  • 医院信箱:kfkqyy@126.com