• 用户名:
  • 密码:
您现在的位置: 首页 > 口腔科普 > 地包天正畸后改变有多大
地包天正畸后改变有多大
添加日期:2020/4/7 16:13:03   浏览次数:2957   加入收藏


地包天正畸后改变有多大

 

地包天是比较常见的颌骨畸形发育性疾病之一,那么什么是地包天的牙齿呢?即下前牙包住上前牙的前面,就是人们常说的“地包天”,医学上称之为前牙反颌。

这样的牙齿情况往往会造成患者口腔功能异常,包括咀嚼效率降低,咬合创伤等 ,而且严重的患者常导致面中部凹陷,下巴明显突出,表现为“月牙脸”,对患者美观影响较大,继而可导致相应的心理问题,影响患者的正常工作学习生活。

 


地包天可不可以治疗呢?下面分享几个正畸案例。

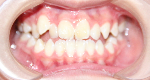
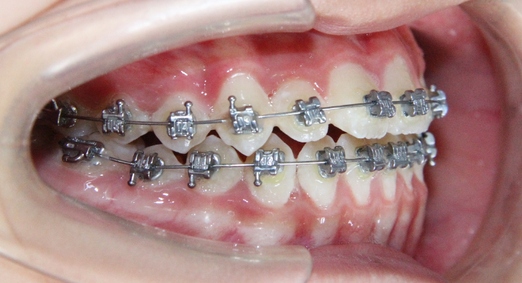
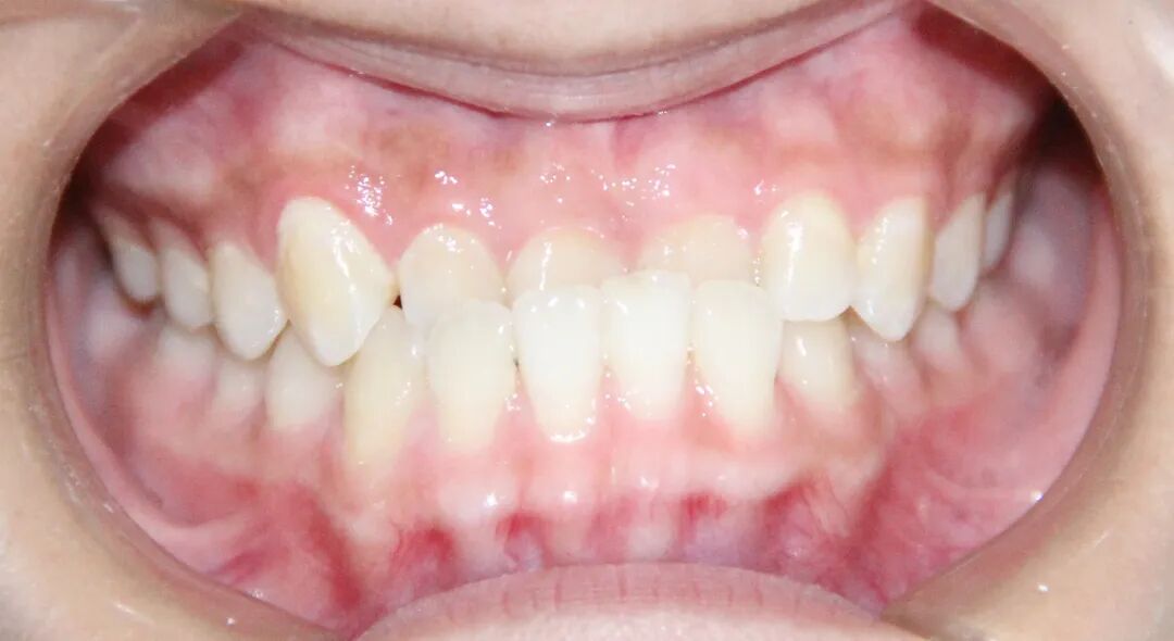
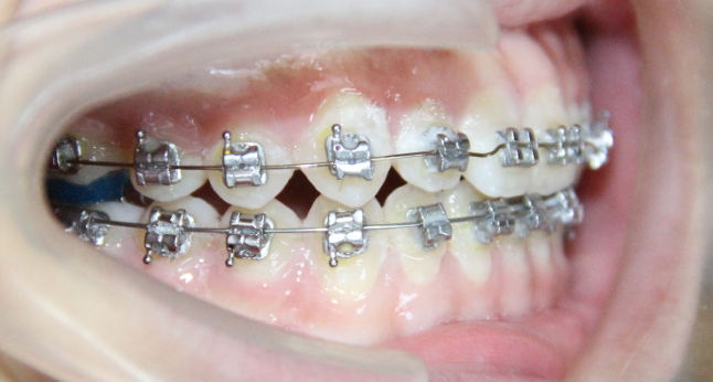
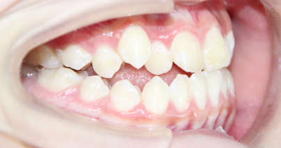
病例1

治疗前


治疗后

 


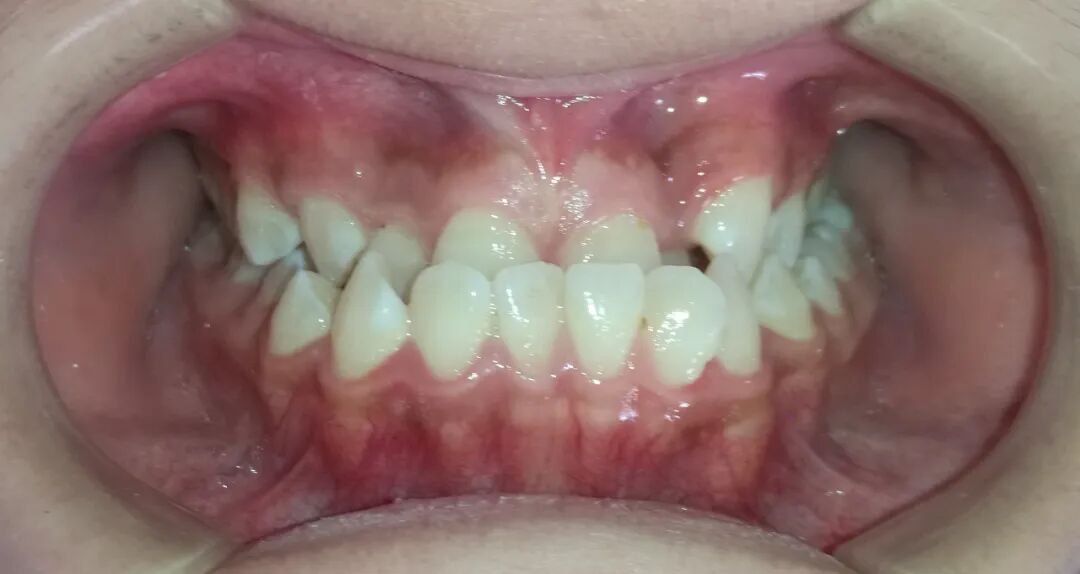
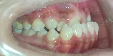
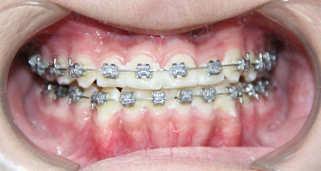
病例2

治疗前

 

治疗后

 


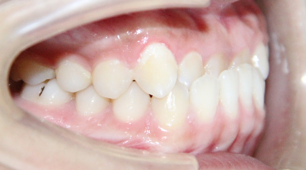
病例3

治疗前

 

治疗后

 

口医人,有口皆碑!

牙齿矫正是一门非常专业的学科,不当的操作可能带来不良后果,建议大家来专业的口腔专科医院治疗牙齿畸形。

开封市口腔医院正畸科欢迎各位患者前来咨询就诊!

 

 

撰稿:正畸科  杨亚欣

摄影:正畸科  杨亚欣

编辑:医务科  赵   然


 

开封市口腔医院始建于1956年,建筑面积5300平方米,是市政府举办,省卫生厅监管的非盈利性二级甲等口腔专科医院。现为河南省口腔医学会副主任委员单位、开封市医学会口腔专业委员会主委单位,新农合、城镇医保定点单位,开封市口腔病防治研究所附设我院。我院专科分设精细,有牙体牙髓病科、修复科、正畸科、种植科、儿童牙病科、综合科、特需门诊、口腔黏膜科、牙周病科、口腔颌面外科、手术室等临床科室及药房、化验室、放射科、锥形束CT室等医技科室,功能齐备的消毒供应中心确保了医疗安全,是一所集医疗、科研、预防、教学于一体的二级口腔专科医院。2012年9月按照市委市政府决定开封市第一人民医院、开封市中西医结合医院、开封市口腔医院、开封眼病医院整合成立开封市中心医院。开封市口腔医院现为开封市中心医院北院区。

 

 

 

  • 地址:开封市东大街90号
  • 联系电话:0371-22559870 0371-22559873
  • 来院路线:乘3路、11路、14路、18路、20路、21路、34路、37路、47路均可到达。
  • 医院信箱:kfkqyy@126.com