• 用户名:
  • 密码:
您现在的位置: 首页 > 口腔科普 > 胃酸真的会腐蚀牙齿吗?
胃酸真的会腐蚀牙齿吗?
添加日期:2022/9/1 16:57:45   浏览次数:1904   加入收藏

     

胃酸真的会腐蚀牙齿吗?

开封市口腔医院护齿园地 2022-08-24 17:00 发表于河南

 


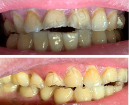
图片

“大夫,我的牙齿有时候会一块块的崩掉,但我也没吃太硬的东西啊”

 

这是来自一位23岁的大学生小潘就诊时提出的疑问,看的出来这位瘦瘦的小伙子为自己的牙齿情况感到很苦恼。

 

当他张开嘴的一瞬间,我也确实开始为他担忧,这不应该是一位23岁年轻人的牙齿。

 

图片

 

经过仔细询问,得知173cm的他原来是个近200斤的重量级人物 ,后来节食减肥导致厌食,紧随其后的是胃食管反流症,其中很重要的一个表现就是胃酸反流至口腔当中。

 

图片

 

“反酸”是我们生活中经常遇到的问题,那么“反酸”反的是什么呢?

 

是胃酸,也就是胃液中的分泌盐酸。

 

当食物进入胃中时,胃酸即开始分泌。正常情况下,它帮助食物消化,并且具有杀菌作用,可以快速杀灭食物中的很多细菌,保护我们的身体健康。

 

但因胃酸的PH值可达0.9-1.8之间,当其与牙齿接触后,便会发生一系列反应。

 

牙齿分为牙釉质、牙本质、牙髓及牙骨质。其中牙釉质是暴露在口腔当中的矿化程度高、硬度最强的部分,主要成分是碳酸钙等无机物,当胃酸长期存在于牙齿表面时,酸性成分与牙釉质中的无机物反应,导致其脱矿腐蚀。

 

我们再仔细看一下小潘的牙齿,可以发现,无论上牙下牙,还是前牙后牙,切端及合面均严重缺损,呈不规则锯齿状,已经失去牙齿原有的正常形态,牙齿高度降低,并且可以在牙齿颈部仅贴牙龈缘的地方看到明显的凹槽,即楔状缺损。

 

在给小潘同学磨除牙齿的时候明显感觉到牙釉质硬度不够,当硬度降低,脆性增加时,就不难解释为什么牙齿会一块块崩掉了。

 

我们分析原因虽不排除先天牙齿矿化问题,但认为主要是胃酸反流导致。

 

图片

 

小潘本人的感受是十分痛苦的,不仅美观受到极大影响,日常生活中进食冷热酸甜时,也会出现明显的酸痛感,甚至为此产生了很大的焦虑等精神压力。

 

小潘同学为朋友们敲响了警钟,当出现胃酸反流时,应及时就诊,改善消化系统情况,同时注意检查牙齿,如果已经出现牙齿腐蚀缺损,就要选择适当的方法进行治疗。

 

希望大家能够重视起反酸的问题,不要等到牙齿块块崩脱、离你而去,才意识到问题的严重性。



来源:中国牙病防治基金会

 

 

中国牙病防治基金会是中国口腔医学领域唯一经国家民政部批准设立,国家卫生健康委员会业务主管的国家级公募基金会。以打造口腔健康公益平台为目标,面向基层、面向大众,重点开展公益慈善、健康科普和能力提升业务,致力于推动我国口腔健康事业发展,提高全民口腔健康水平。


 

 

 

开封市口腔医院始建于1956年,建筑面积5300平方米,是市政府举办,省卫生厅监管的非盈利性二级甲等口腔专科医院。现为河南省口腔医学会副主任委员单位、开封市医学会口腔专业委员会主委单位,新农合、城镇医保定点单位,开封市口腔病防治研究所附设我院。我院专科分设精细,有牙体牙髓病科、修复科、正畸科、种植科、儿童牙病科、综合科、特需门诊、口腔黏膜科、牙周病科、口腔颌面外科、手术室等临床科室及药房、化验室、放射科、锥形束CT室等医技科室,功能齐备的消毒供应中心确保了医疗安全,是一所集医疗、科研、预防、教学于一体的二级口腔专科医院。2012年9月按照市委市政府决定开封市第一人民医院、开封市中西医结合医院、开封市口腔医院、开封眼病医院整合成立开封市中心医院。开封市口腔医院现为开封市中心医院北院区。

 

 

 

  • 地址:开封市东大街90号
  • 联系电话:0371-22559870 0371-22559873
  • 来院路线:乘3路、11路、14路、18路、20路、21路、34路、37路、47路均可到达。
  • 医院信箱:kfkqyy@126.com