• 用户名:
  • 密码:
您现在的位置: 首页 > 口腔科普 > 牙齿突然掉一块
牙齿突然掉一块
添加日期:2019/8/16 16:57:58   浏览次数:2586   加入收藏

 

牙齿突然掉一块


 

我们的牙齿完完整整的,才能满足正常生活的各项使用,如果牙齿有问题,那么自己就会有很大的不便了,一些朋友可能有这样的经历,就是自己的牙齿突然掉了一小块,这是怎么回事呢?

 


牙结石掉落   

 

 

牙齿会产生各种各样的问题,让我们防不胜防,虽然它能够切割和咀嚼很多食物,比如说馒头啦、肉啦、各种菜啦,其实牙齿也比较脆弱,遇到什么情况都容易发生缺损,而有的时候都让我们很意外,不少朋友的牙齿根部可能掉一小块。牙齿根部掉了一块,可能是牙结石的缘故。牙结石对口腔来说是一种异物,它会不断刺激牙周组织,并且会压迫牙龈,影响血液循环,造成牙周组织的病菌感染,引起牙龈发炎、萎缩,形成牙周袋。很多牙科案例表明,牙结石会对口腔造成极大的危害。

 

 


牙釉质脱落  

 

出现牙釉质脱落,最常见的原因是牙齿已经发生了龋坏,但因为没有疼痛的感觉或者慢性疼痛不明显,导致当事人自己没有发现,没有及时处理,于是牙釉质因被腐蚀而脱落。有些人因为服用过四环素类药品,影响了牙齿的结构发育,使牙齿表面变暗、硬度降低,也会出现牙齿成块脱落的现象;如果患有“遗传性乳光牙本质”,也会使牙齿结构发生异常,从而变得疏松而容易剥落。咬到硬物也可能出现牙釉质脱落,特别是有些死髓牙,因为牙神经已经断裂、牙齿失去了活力而变脆,如果咬到硬物,使硬力集中在一颗牙上,很容易把牙“崩”掉一块儿。因此,口腔科医生通常会建议牙病患者,最好在治疗后做个牙套把死髓牙保护起来。平时不要用牙齿去嗑咬硬物,如酒瓶盖、嗑瓜子等。

 

 

 


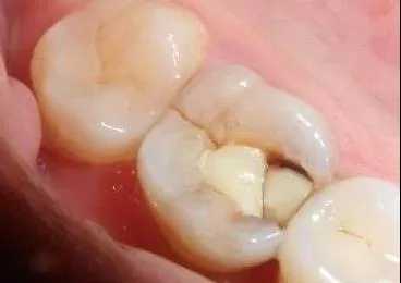
牙齿缺损  

 

牙齿缺损是牙齿掉块的重要因素。牙齿里面有牙髓,当牙被磕掉一块后,牙齿表面的牙釉质受伤,牙齿缺口比较接近牙髓,就很容易伤到牙髓的血管和神经,最终让整颗牙受损。所以牙齿被磕到后,要及时就医,通过修补,可以让牙齿恢复之前的模样。牙齿缺损可以使用全瓷牙来修复,全瓷牙有普通的全瓷,也有热压的铸瓷、玻璃渗透的陶瓷和氧化锆的全瓷牙,各有优劣。全瓷牙的“进化”就在于强度的不断加强,以适应更多需求。在常用全瓷牙中,氧化锆全瓷牙的强度最高,其次是玻璃渗透陶瓷、铸瓷牙、普通全瓷牙;价格也按强度顺序,氧化锆全瓷牙最贵,普通全瓷牙最便宜。

 


综上所述,牙齿掉了一小块可能跟许多因素都是相关的,情况不同,也难以有统一的方式,只有确定了问题之后,才能施行相应的对策。

 

 

 

                                                                          撰稿:牙体牙髓病科  吕宁

                                                                          编辑:医政科  赵然

 


 

开封市口腔医院始建于1956年,建筑面积5300平方米,是市政府举办,省卫生厅监管的非盈利性二级甲等口腔专科医院。现为河南省口腔医学会副主任委员单位、开封市医学会口腔专业委员会主委单位,新农合、城镇医保定点单位,开封市口腔病防治研究所附设我院。我院专科分设精细,有牙体牙髓病科、修复科、正畸科、种植科、儿童牙病科、综合科、特需门诊、口腔黏膜科、牙周病科、口腔颌面外科、手术室等临床科室及药房、化验室、放射科、锥形束CT室等医技科室,功能齐备的消毒供应中心确保了医疗安全,是一所集医疗、科研、预防、教学于一体的二级口腔专科医院。2012年9月按照市委市政府决定开封市第一人民医院、开封市中西医结合医院、开封市口腔医院、开封眼病医院整合成立开封市中心医院。开封市口腔医院现为开封市中心医院北院区。

 

 

 

  • 地址:开封市东大街90号
  • 联系电话:0371-22559870 0371-22559873
  • 来院路线:乘3路、11路、14路、18路、20路、21路、34路、37路、47路均可到达。
  • 医院信箱:kfkqyy@126.com