• 用户名:
  • 密码:
您现在的位置: 首页 > 口腔科普 > 乳牙龋齿不需要治疗——这是一种十分危险的观念
乳牙龋齿不需要治疗——这是一种十分危险的观念
添加日期:2019/9/2 16:58:07   浏览次数:2006   加入收藏

 

乳牙龋齿不需要治疗——这是一种十分危险的观念

 

                                          


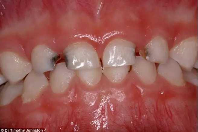
“孩子的乳牙反正是要换的,乳牙龋齿不需要治疗。”许多家长都会有这样的错误观念。现在我们要告知父母的是,儿童牙病拖着或会导致各种严重疾病。

调查结果显示,我国5岁儿童乳牙龋病的患病率达66.0%,其中97%都未经治疗;12岁儿童恒牙龋病的患病率为28.9%,89%未经治疗。专家表示,儿童的牙齿问题更应该引起重视,因为它不仅会影响孩子的生理发育,还可能会影响到青少年的心理发育。

 

随着年龄变大孩子有了爱美之心

“孩子以前挺活泼的,就是因为好几颗门牙是虫牙,随着年龄变大,孩子有了爱美之心,就不愿张嘴笑了。”一位妈妈很是着急,因为孩子变得越来越沉默了,孩子说,有的小朋友还笑话她,所以都不愿和小朋友们玩了。

儿童乳牙龋齿,确实能够影响儿童的心理健康。有不少患儿,因为门牙龋齿影响美观,产生了自卑心理,比如很多患儿不敢张口大笑、不愿意拍照等,对孩子的行为心理健康产生不良影响。


儿童龋齿会诱发全身系统性疾病

不要小看儿童龋齿,严重的时候,它可以造成肾炎、心内膜炎等全身系统性疾病。龋齿进一步发展可以导致牙髓坏死,其有害的代谢产物或细菌毒素可被血液或淋巴液带到身体其他部位,在身体抵抗力降低时,可诱发慢性肾炎、心内膜炎等全身性疾病。乳牙龋坏后,牙冠的外形被破坏,导致牙齿的咀嚼功能降低、食物咀嚼不充分、胃肠负担过大,从而影响儿童的营养摄入,造成机体营养不良,特别对生长发育期的儿童影响更大。

 

 

乳牙龋齿不需要治疗,这是一种十分危险的观念。

乳牙反正是要替换的,乳牙龋齿不需要治疗,这是一种十分危险的观念。请每一位父母对自己孩子的牙齿负责,对孩子的健康负责。

 

 

 

编辑:医政科  赵然


开封市口腔医院始建于1956年,建筑面积5300平方米,是市政府举办,省卫生厅监管的非盈利性二级甲等口腔专科医院。现为河南省口腔医学会副主任委员单位、开封市医学会口腔专业委员会主委单位,新农合、城镇医保定点单位,开封市口腔病防治研究所附设我院。我院专科分设精细,有牙体牙髓病科、修复科、正畸科、种植科、儿童牙病科、综合科、特需门诊、口腔黏膜科、牙周病科、口腔颌面外科、手术室等临床科室及药房、化验室、放射科、锥形束CT室等医技科室,功能齐备的消毒供应中心确保了医疗安全,是一所集医疗、科研、预防、教学于一体的二级口腔专科医院。2012年9月按照市委市政府决定开封市第一人民医院、开封市中西医结合医院、开封市口腔医院、开封眼病医院整合成立开封市中心医院。开封市口腔医院现为开封市中心医院北院区。

 

 

  • 地址:开封市东大街90号
  • 联系电话:0371-22559870 0371-22559873
  • 来院路线:乘3路、11路、14路、18路、20路、21路、34路、37路、47路均可到达。
  • 医院信箱:kfkqyy@126.com