以下文章来源于中国牙病防治基金会 ,作者COHF
人的一生有两副牙列。

6个月左右开始萌出至2岁半左右,20颗乳牙全部萌出完成,6岁左右,乳牙开始脱落,到12岁左右全部被恒牙替换。
很多家长认为:恒牙迟早会长出来的,乳牙过早丧失并不是什么大事,不用处理。
是这样吗?其实并不是这样的。
乳牙早失有很多危害:
-
乳牙早失后,邻牙移位,对颌牙伸长,使间隙变小。
-
乳牙早失时患儿年龄越小,牙列越拥挤,间隙变小的可能性越大。
-
乳尖牙或乳磨牙早失后,发生恒牙错合畸形的机会比没有乳牙早失者高3-4倍。
-
第二乳磨牙早失后,六龄牙向缺牙侧倾斜,第二前磨牙失去正常萌出的空间。
所以乳尖牙和乳磨牙早失后要尽快治疗。
乳牙早失治疗就是要进行间隙管理,维持水平方向上和垂直方向上的缺牙间隙,预防错合畸形的发生。
通俗的说就是要佩戴间隙保持器,防止相邻的和相对的牙齿移位,为继承恒牙的正常萌出留出足够的间隙。
间隙保持器有很多种类,总体来说可以分为固定式和活动式间隙保持器。
固定式间隙保持器,顾名思义是粘固在孩子的牙齿上,由医生安装和拆除,患儿和家长在家不需处理。
这对于孩子和家长来说是非常方便的。但它也有不足之处,固定式间隙保持器上没有设计假牙,不能恢复咀嚼功能,而且它只能维持水平方向上的间隙,不能维持垂直方向上的间隙。
也就是说,固定式间隙保持器能够防止相邻的牙齿倾斜,但不能预防对颌牙齿伸长。

图为7岁患者佩戴了3种固定式间隙保持器。
a为腭弓,是用于多颗乳磨牙早失的上颌腭弓间隙保持器。
b为带环丝圈式、c为全冠丝圈式,b和c都是早失牙齿数目较少时佩戴的间隙保持器。
不同的乳牙早失情况要针对性的设计不同的间隙保持器。
佩戴期间不要食用特别粘的食物。比如很黏的糍粑或麦芽糖,食用这些会容易导致保持器脱落。
建议孩子早晚认真刷牙,多喝水,勤漱口,保持器周围的口腔清洁。
如果新牙萌出,间隙保持器尚未脱落,请尽快到医院就诊取下间隙保持器。
如果间隙保持器意外脱落,请尽快到医院重新粘固。如果保持器损坏严重不能重新固定,或者由于没有及时复诊,间隙已经发生变化,则需要重新制作间隙保持器。

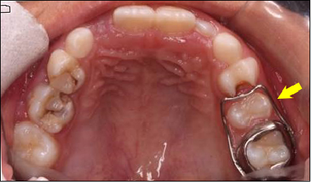
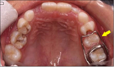
如果像这张图中展示的继承恒牙已经萌出,但间隙保持器尚未脱落,请尽快到医院就诊取下间隙保持器。
否则,恒牙可能会长歪,或因为食物嵌塞而患龋。
即使没有发生什么问题,也没有佩戴不适,也需要每3-6个月定期到专业口腔医院复查,确保间隙保持器的正常使用。
与固定式间隙保持器相对应的是活动式间隙保持器,形式上相当于简易版的活动义齿,也就是说这种保持器是设计了假牙的。
它可以从一定程度上恢复咀嚼功能。
活动式间隙保持器不仅能保持缺牙间隙的水平长度,而且能保持垂直高度,也就是能全方位的维持间隙。
这种保持器由患儿和家长在家进行摘戴,所以可以每天取下彻底清洁口腔。但也由于它不是固定在口腔中的,这种保持器的佩戴高度依赖于患儿的配合程度和家长的依从性。
1. 佩戴间隙保持器期间勿食用硬质食物或易粘牙食物。
2. 每日早晚刷牙时需取下保持器,认真清洁口腔和保持器。
3. 佩戴后如引起不适或口腔粘膜溃疡,需及时复诊调磨保持器。
4. 每3-6个月复查,由医生定期调改保持器的大小,避免影响颌骨的生长发育。
来源:中国牙病防治基金会
中国牙病防治基金会是中国口腔医学领域唯一经国家民政部批准设立,国家卫生健康委员会业务主管的国家级公募基金会。以打造口腔健康公益平台为目标,面向基层、面向大众,重点开展公益慈善、健康科普和能力提升业务,致力于推动我国口腔健康事业发展,提高全民口腔健康水平。
